자연치아 보존의 노하우
1
자연치아의 가치를 알고 있습니다.
치과 재료 중 가장 좋은 재료도 자연치아를 대신할 순 없습니다.
서울이니셜치과는 자연치아의 가치를 잘 알고 있기에
무분별한 발치는 지양하고 최대한
자연치아를 살리는 치료방법을 선택합니다.
전통적인 치의학을 바탕으로
자연치아 보존 방식의 통합진료를 보여드립니다.
2
단계별 보존 시스템
단계별 보존 시스템이 없다면
잘못된 판단으로 발치를 할 수도 있습니다.
서울이니셜치과는 단계별 보존 시스템을 구축하여
어떤 상황에도 단계별로 자연치아를 살리고자 노력합니다.
충치치료
충치 진행 단계를 통해 알맞은 치료를 진행함으로써
자연치아를 보존합니다.
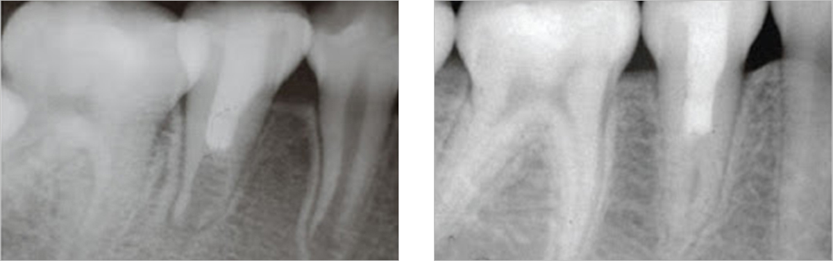
MTA 신경치료
MTA 충전재는 탁월한 밀봉력과 재생력이 강한 생체물질로
염증이 있던 치아 뿌리 주변 잇몸뼈의 재생에
도움을 주는 치료방법입니다.
자연치아를 오래 사용할 수 있도록 도와줍니다.
특허 받은 제조 기술인 엔도셈 MTA를 사용하여 우수한 생체 적합성을 보장합니다.
(a)엔도셈 MTA, (b)ProRoot, (C)IRM에 72 시간동안 배양 MG63 세포의 SEM 관찰(x1000)
재근관치료
기존의 신경치료 부위에 병소가 재발,치근단 염증이 생긴 경우
비수술적인 재근관치료를 시도해볼 수 있습니다.
치근단 절제술
치근단절제술은 신경치료 후 재신경치료가 불가능하거나
재신경치료를 시행했음에도 치유가 되지 않는 경우에
시행하는 수술입니다.
치주치료
흔들리는 치아라서 발치 후 임플란트를 하신다구요?
치주치료를 통해 임플란트 할 치아도
다시 보는 치료를 보여드립니다.
자연치아 살리기







